
なお、マイクロスコープ特診外来は紹介状を基本とした事前の完全予約制で,治療はすべて保険外診療となりますことをご了承ください。
外来診療担当医表
診療スタッフの紹介

小林 平 (補綴治療担当)
小峯 千明(歯内治療担当)
診療受付案内
マイクロスコープ特診外来を受信希望の患者さんは、かかりつけ医にて紹介状を依頼していただき、お電話にてご予約をお取りください。なお、完全予約制で保険外診療となります。
診療実績


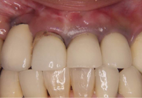
歯肉の変色を除去し補綴処置後

歯肉が金属片の影響で変色
初診時に歯肉に金属等が迷入して黒ずんでいるケースでも、マイクロスコープを使用して強拡大下の低侵襲で歯肉中の金属等を除去することが可能なケースもあります。その後再度補綴処置を行って審美性の向上を得られます。まれに、歯肉レベルに変化がおこなることもあります。
マイクロスコープ特診外来 料金表(税込)
1)マイクロスコープ診断 12,100円
2)クラウン・ポスト・根管充填材除去 24,200円
3)抜髄・根管治療 (根管充填(治療)終了時に算定する。)
単根管:42,350円
2根管:48,400円
3根管:54,450円
4根管:60,500円
上記料金にマイクロ特診料が加算されます 23,100円
4)根管内破折器具除去 30,250円
5)穿孔部処置(MTA使用) 30,250円
6)歯髄保存療法 48,400円
(最終修復料金は別に算定)
7)Revascularization(歯髄再生療法) 54,450円
(最終修復料金は別に算定)
8)マイクロエンドサージェリー 60,500円
9)プロビジョナル製作 4,950円(1歯)
2歯以降1歯増えるごとに 2,750円
ただし症例に応じて別途料金が加算されます。
2)クラウン・ポスト・根管充填材除去 24,200円
3)抜髄・根管治療 (根管充填(治療)終了時に算定する。)
単根管:42,350円
2根管:48,400円
3根管:54,450円
4根管:60,500円
上記料金にマイクロ特診料が加算されます 23,100円
4)根管内破折器具除去 30,250円
5)穿孔部処置(MTA使用) 30,250円
6)歯髄保存療法 48,400円
(最終修復料金は別に算定)
7)Revascularization(歯髄再生療法) 54,450円
(最終修復料金は別に算定)
8)マイクロエンドサージェリー 60,500円
9)プロビジョナル製作 4,950円(1歯)
2歯以降1歯増えるごとに 2,750円
ただし症例に応じて別途料金が加算されます。
診療分野・医療機器について
基本的には根管治療が主ですが,マイクロスコープ下で虫歯を治療して詰め物をしたり,レーザーとマイクロスコープを使用して歯肉のメラニン色素を除去したりと,最新の機器を使用して様々な治療を行っています。